Chcete vědět, zda chodíte k estetickému stomatologovi? O tom se přesvědčíte snadno. Zkuste jít k zrcadlu, usmát se na sebe a otevřít ústa. Pokud jste se sami sobě ve všech polohách líbili, zuby byly krásné ze všech úhlů, navíc vás trvale – i ty opravené – nebolí, dále se nekazí a správně koušou, pak chodíte ke kvalitními estetickému stomatologovi.

„Ve skutečnosti práci na zubech v kvalitě, kterou můžeme nazvat estetickou stomatologií, provádí v republice pár desítek zubních lékařů,“ sděluje nám jeden z nich, který pravidelně práci v této oblasti sleduje, pan MUDr. Radoslav Lacina.
Není stomatolog jako zubař
Pojďme na jeden příběh o téměř zázračné, přitom pro estetického stomatologa standardní opravě zubů:
„To máte krásnou práci,“ přesvědčovala mě ještě před 3 lety moje zubařka. Bohužel tento názor nesdíleli moji blízcí, kteří na práci její a laborantů na ni napojených koukali se zděšením. Většině takt nedovolil říci to nahlas, ale naštěstí jsem měla kolem sebe i ty odvážné, věci znalé profesionály, kteří mi radili, ať si někoho najdu a něco s tím udělám.
Nebylo to jenom o vzhledu, byť ten mně ubíral na sebevědomí. Cítila jsem, jak každý, s kým mluvím, upírá zrak na má ústa. Bylo to hlavně o každodenní večerní bolesti zubů, o často vypadnutých výplních a opravách dalšími pojišťovnou nehrazenými výplněmi. Jednoho dne jsem tak koukala do zrcadla a začala propadat panice, že do konce života budu spořit jen a jen na zuby, a to zřejmě o ně za pár let stejně přijdu.
Ale co udělat s nevzhledně a špatně opravenými zuby? Zubaři jsou všichni stejní, nebo snad ne?
„Maximálně to znovu vyvrtají a po opravě to bude vypadat přibližně stejně,“ myslela jsem si.
Stomatologicky vzdělaná kolegyně už se mnou neměla trpělivost. Investovala jsem tisíce do chybné opravy zubů a vypadala, že si nenechám poradit. „Ale kam s tím mám jít?“ ptala jsem se, „stávající zubařka to lépe neumí a jít někam na slepo – dopadnu možná i hůře. To musí být někdo prověřený,“ odmítla jsem se sebou experimentovat.
Kolegyně zapátrala a domluvila mně konzultaci u známého. Ten naznal, že to, co potřebuji, osobně nedělá, ale poslal mě dále. Dostala jsem se do jednoho ze špičkových center estetické stomatologie v České republice. Fotkám, jak to vypadá po a ujištění, že i mezistav bude vypadat lépe, než co mám v ústech nyní, ve mně vzbuzoval vnitřní úsměv. Nevěřícný úsměv. Ale ty fotky pacientů vypadaly opravdu dobře. Lékařka na mě působila důvěryhodně hlavně díky oněm fotografiím. Řekla jsem si, že to zkusím.
Kvalitní výplň netrvá pouze 10 minut, ale výsledek stojí za to
Jak ošetření probíhalo? Co mě nejvíce na estetické stomatologii překvapilo?
Nejprve jsem si práci estetické stomatoložky vyzkoušela pouze na části chrupu. Když jsem zjistila, že výsledek odpovídá jejím slibům, postupně jsme vytvořily plán celkové sanace (opravy) zubů. Nejvíce jsem byla překvapená, jak si lékařka se vším doslova hrála do posledního detailu. Např. výplň, která byla dřívější zubařkou hotová za 5 až 10 minut, tady trvala minut 30 a postup zahrnoval několik fází, které jsem z dřívějšího ošetření vůbec neznala.
Jaký byl výsledek estetické stomatologie v mých ústech?
Roven zázraku. Esteticky jsem neměla tak krásný úsměv ani v mládí, ale hlavně již přes 2 roky nepotřebuji kromě preventivní prohlídky a návštěvy dentální hygieny jinou stomatologickou službu. Ke stejnému kroku jsem následně přiměla ostatní členy rodiny.
Co je estetická stomatologie?
Na to se již zeptáme našeho odborníka, estetického stomatologa, pana doktora Laciny:
Pane doktore, popsala jsem estetickou stomatologii správně, nebo byste něco doplnil?
Dobře spravené zuby nebolí.
„Předně je potřeba říci, že dobře spravené zuby v naprosté většině případů nebolí. To nemá s estetickou stomatologií nic společného.
Estetická stomatologie se snaží o rekonstrukce, které jsou přirozené - v barvě a tvaru přirozeného chrupu. Velmi důležitou částí těchto ošetření je i správná funkce. Pokud budete mít sebekrásnější zuby, na které se nedá kousat, nebo máte rekonstrukci, která často padá nebo se láme, tak je celé ošetření k ničemu.“
Proč lidé estetickou stomatologii odmítají? Proč nechtějí kvalitní péči?
Proč česká veřejnost svěřuje své zdraví a finance někomu, kdo jí zdraví ničí a penězi plýtvá.
Důvod číslo 1: Neznalost estetické stomatologie
U mě to bylo neznalostí oboru, zručnosti a erudice estetických stomatologů.
Důvod číslo 2: Vždyť je to drahé!
Toho jsem se při prvním nahlédnutí do ceníku také obávala. Je práce estetických stomatologů skutečně drahá? Po opravě zubů jsem si provedla finanční analýzu. Ano, oprava byla drahá, ale právě proto, že jsem si zuby nechala ničit nekvalitní péčí, jak zubaře, tak svým chybným čištěním. Správnou techniku jsem se naučila až v centru estetické stomatologie u dentální hygienistky. Moje zjištění bylo více než překvapivé. Pokud by destrukce chybně opravovaného chrupu probíhala stejným tempem jako dříve, tak za 10 let vydám stejné peníze jako za onu celkovou jednorázovou opravu chrupu. Zuby by samozřejmě i nadále vypadaly příšerně. Ve skutečnosti však frekvence oprav a jejich rozsah u dřívější zubní lékařky narůstal. Takže je docela možné, že by onen bod zlomu přišel již za nějakých 5 let a možná by následná investice byla výrazně vyšší. Bylo to neuvěřitelné, ale estetické stomatoložce se podařilo zachránit všechny moje zuby. Ovšem přijít o pár měsíců později, už tomu tak nemuselo být.
Čecha ve světě poznáte podle bot a zubů.
Pane doktore, proč myslíte, že se Češi spokojí s prací vlevo na fotkách?
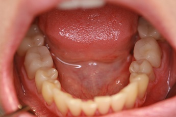
![]() |
![]() |
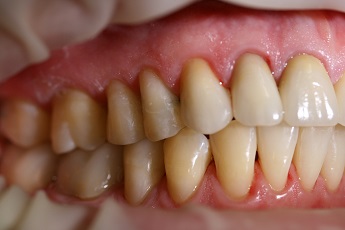
Ukázka práce estetické stomatoložky, vlevo stav před (zuby opravované běžným stomatologem), vpravo stav po opravě estetickou stomatoložkou.
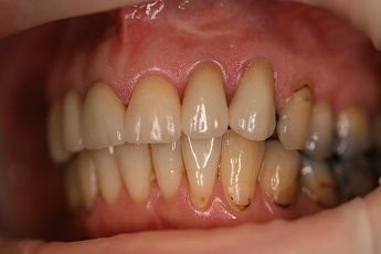
![]() |
![]() |
Ukázka práce estetické stomatoložky, vlevo stav před (zuby opravované běžným stomatologem), vpravo stav po opravě estetickou stomatoložkou.
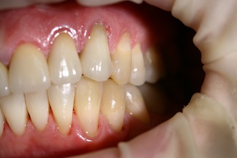
![]() |
![]() |
Ukázka práce estetické stomatoložky, vlevo stav před (zuby opravované běžným stomatologem), vpravo stav po opravě estetickou stomatoložkou.
„Traduje se taková otázka: Jak poznáte ve světě Čecha? Podle bot a zubů. Obojí je hrozné. Bohužel velká část lidí považuje hezké zuby za méně důležité než například značkové oblečení nebo nejmodernější mobilní telefon. Druhou okolností, která velmi ovlivňuje tento problém, je systém zdravotního pojištění u nás. Systém zajišťuje sice stomatologické ošetření zdarma, ale o estetice se nedá vůbec hovořit. Výše úhrad ze zdravotního pojištění jsou v porovnání s cenami stomatologického materiálu tak nízké, že máme problém finančně dosáhnout na kvalitní amalgámové výplně. Dražší a esteticky výrazně hezčí výplně v barvě zubu není možné bez finanční spoluúčasti pacienta provést.
Musím ale říci, že co se týče poptávky po „hezkých zubech“, situace se sice pomalu ale přece jen zlepšuje. A to hlavně ve velkých městech, kde je sociální tlak na estetično, a tedy i hezké zuby, velký.“
Prošlo by to zubařům i u našich západních sousedů?
„Samozřejmě prošlo. I v zahraničí jsou lidé s jinými preferencemi. I ze zahraničí k nám občas přijedou „chuťovky“. Pravdou ale je, že jich je tam mnohem méně.“
Provádí takovouto práci většina českých stomatologů? Proč? Resp. je skutečně práce všech běžných stomatologů nekvalitní?
„Zdaleka ne. I v Čechách je spousta dobrých zubařů. Velký tlak na kvalitu pozorujeme i u mladých absolventů. A proč někdo dělá prácí špatně? Může být neschopný, nešikovný, anebo ho práce prostě jen nebaví a bere ji jako nutné zlo. A navíc, zubařů je málo. Stále ještě je malá konkurence, a pokud máte plnou čekárnu a objednací dobu tři měsíce, tak vás ke skutečně kvalitě tlačí jenom vaše vnitřní přesvědčení, že je správné dělat dobrou a kvalitní práci.“
Která země je kolébkou estetické stomatologie?
„Těžko říci, ale asi nejlepší lékaři z oboru jsou v Itálii, Švýcarsku a v USA.“
Mají se čeští estetičtí stomatologové ještě vůbec od koho co učit? Slyšela jsem, že jsou skutečně alespoň v rámci Evropy na vysoké úrovni.
„Samozřejmě, vždy je co se učit. Ale musím říci, že když jsem před asi 10 lety začal jezdit do světa na přednášky světových špiček, byl jsem jako z jiného světa. Vůbec jsem nechápal, jak to dokážou. A dnes na přednáškách těch samých si říkám - vždyť to umím taky.“
Čím se liší estetický stomatolog od běžného stomatologa?
„Odpověď je prostá. Ví, jak vypadají „hezké zuby“ a ví, jak jich dosáhnout zrovna u vás. Trochu jiná otázka je, jak ho poznají pacienti. Velmi těžko. Možná pár nápověd.
Estetický stomatolog prezentuje své výsledky.
Dobrý estetický stomatolog prezentuje své výsledky. Takže pokud má webové stránky plné přístrojů, jděte jinam. Pokud tam ale má výsledky své práce – je to docela dobrá indicie, že to umí. Dobrý estetický stomatolog se snaží pochopit, co se pacientovi líbí, snaží se mu ukázat na přípravných fázích, jak by finální ošetření mohlo vypadat, a konzultuje to s ním. A nakonec dobrý estetický stomatolog vám do pusy nedá nic, co se vám nelíbí.“
Jaké jsou pro pacienta výhody ošetření estetickým stomatologem oproti běžnému nekvalitnímu a oproti běžnému kvalitnímu?
„Pokud je to skutečně stomatolog dobrý v estetice i v provedení, dostane pacient dlouhodobé (nikoliv však trvalé) ošetření, které je těžko rozeznatelné od vlastních zubů. Ošetření, které šetří vlastní zuby. Ošetření, které když doslouží, je možno ho snadno nahradit.“
V anti-aging medicíně se bohužel často setkávám s prezentací lékařů v oborech, pro které nemají vzdělání, příp. potřebné schopnosti. Stává se, že zubař, který se prezentuje coby estetický stomatolog, vůbec práci odpovídající tomuto termínu neodvádí? Pouze cena je na úrovni estetických zákroků? Setkáváte se s tím? Jak tyto případy končí? Jak může pacient tuto skutečnost odhalit předem?
„Stejně jako v jiných oborech lidského konání jsou i tady fušeři. Problémem těch dobrých je, že špatné ošetření a to hlavně v provedení pacient často odhalí velmi pozdě. Výhodou dnešní stomatologie je, že téměř vždy dokážeme vyřešit i tyto špatně provedené práce. Bohužel řešení těchto „oprav“ bývá často mnohem dražší, než kdyby se už od začátku udělalo správně,“ uzavírá náš rozhovor estetický stomatolog Radoslav Lacina.
Autor: MUDr. Jana Martincová
.jpg)






