Inzerce

Kniha Žena po 40 - zdravý životní styl po 40

Zubní výplně: amalgám nebo bílé plomby?

Úkolem zubní výplně je plně rehabilitovat tvar a funkci zubu postiženého zubním kazem, jako by se ani nevytvořil. Ne vždy je tento úkol jednoduchý, ale současná moderní stomatologie se dokáže tomuto cíli velmi dobře přiblížit.

Funkce zubů

Chrup člověka je heterodontní, tzn. zuby jsou různě tvarované, tedy funkčně specializované. Přední zuby - řezáky a špičáky slouží k ukusování sousta, třenové zuby a stoličky jej dále rozmělňují. Proto jsou takto logicky uloženy do horního a dolního žvýkacího oblouku a jejich hlavními funkcemi jsou žvýkání potravy, a tím napomáhání ke správnému trávení, opora při mluvení tj. funkce fonanční a v neposlední řadě i funkce sociální. Znatelně opravené zuby nepůsobí na okolí zrovna vzhledně, chybějící zub nebo více zubů zejména v esteticky exponované oblasti chrupu jsou považovány za společenský nedostatek. 

Stavba zubu

Zub se anatomicky skládá ze zubní korunky, viditelné v dutině ústní, krčku a kořene, uloženého v kosti. Co se týče tvrdých zubních tkání, jeho největší část tvoří zubovina neboli dentin, která dává zubům jejich specifickou barvu.  Dále ve svém nitru ukrývá živou dřeň, s níž je úzce propojena. Jakmile se destruktivní proces dostane do dentinu, defekt začíná být citlivý až bolestivý. Proto je korunka pokryta sklovinou, hladkou, lesklou ale zároveň i pevnou hmotou, která zubovinu chrání a je schopná odolávat nepříznivému prostředí v dutině ústní.

Zubní kaz – jak vzniká

Zuby jsou během života hodně mechanicky namáhány, ale jsou též vystaveny agresivnímu působení prostředí dutiny ústní, jako jsou produkty ústních bakterií, změnám pH prostředí v závislosti na příjmu potravin atd. Narušení tvrdých zubních tkání, které vzniká působením kyselého prostředí a patogenních bakteriálních druhů po určitou dobu se nazývá zubní kaz. 

Léčba zubního kazu, prevence

Při léčbě zubního kazu platí čím dříve, tím lépe. Terapie je o to složitější, čím více jsou tvrdé zubní tkáně zničeny. U velmi raných fází lze kaz zastavit remineralizací (správná hygiena, dieta, fluoridové přípravky), avšak ve většině případů je defekt zachycen ve fázích, kdy dochází k destrukci zubu a intervence zubního lékaře je nevyhnutelná. Proto jsou právě v případě zubů preventivní prohlídky doporučovány 2x ročně. 

Kritéria výběru materiálu pro zubní výplně

Při výběru vhodného materiálu je nutné zvážit umístění defektu, velikost ošetřovaného kazu, hygienu pacienta, jeho estetické nároky a finanční možnosti. Ošetření zubů estetickými materiály v zadním úseku chrupu je možné, pouze vyžaduje dostatečné znalosti lékaře na jejich použití a zhotovení.
 
Je možné, aby opravený zub vypadal jako zdravý? Je možné výplň nepoznat?
Jak už bylo zmíněno, zubní výplň by měla plně rehabilitovat zub destruovaný kazem, v nejlepším případě k nepoznání jak po estetické, tak i funkční stránce. Dnešní stomatologie se výběrem vhodných materiálů a kvalitním vzděláváním lékařů tomuto cíli přiblížila natolik, že je možné zhotovovat práce jak esteticky vyhovující, tak stálé v čase a tolerantní k lidskému organismu.

Rozdělení výplní

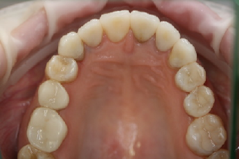
Jednoduše se výplně dělí na přímé -  ty jsou zhotovovány přímo v ústech pacienta zubním lékařem a výplně nepřímé – v případě rozsáhlejších defektů tzv. onlaye, inlaye, overlaye (předpona naznačuje, jakou část zubu výplň nahrazuje). Bývají zhotovovány mimo ústa pacienta, a to buď v zubní laboratoři laborantem, nebo v ordinaci pomocí počítačové CAD/CAM technologie např. CEREC. Na zbytek zubu, který zůstal po odvrtání zubního kazu nebo nevyhovující výplně, se tato nepřímá výplň, nahrazující odvrtanou část zubu, nalepí stejně jako korunka.
 
Podle kazem postižených ploch se rozdělují výplně do tříd: 
I. třída - na kousacích plochách stoliček a třenových zubů 
II. třída – v mezizubních prostorách stoliček a třenových zubů 
III. třída - v mezizubních prostorách řezáků a špičáku, nezasahující do řezací hrany 
IV. třída - v mezizubních prostorách řezáků a špičáku, zasahující do řezací hrany (poúrazové stavy)
V. třída - plochy v oblasti zubních krčků
 
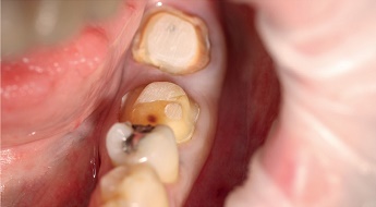
Výplně metodou CEREC, CAD/CAM Výplně metodou CEREC, CAD/CAM

Fota: výroba celokeramických korunek na poslední 2 stoličky pomocí scaneru - CEREC.

Výplně metodou CEREC, CAD/CAMPravidla při ošetřování zubního kazu

  1. veškeré kazivé hmoty musejí být bezezbytku odstraněny (výjimkou je dočasné ošetření nespolupracujících nebo těžce ošetřitelných dětí). V případě ponechání zkažené zuboviny kaz pod výplní dále progreduje (recidivující kaz).
  2. tvar kavity – dutiny po vyvrtání kazu – musí být správně upraven pro daný materiál. Pokud nejsou všechna pravidla dodržena, může dojít k selhání práce zlomeninou zubu nebo výplně. 
  3. způsob preparace a přípravy kavity - dutiny se liší v závislosti na použitém výplňovém materiálu, stejně jako technologie zpracování materiálu a náklady na materiál samotný. To pochopitelně vede k někdy i velmi vysokým rozdílům v cenách výplní.

 

S jakou výplní byste měli odcházet od zubního lékaře?

  • Povrch výplně: po vytvrzení by měl být povrch výplně hladký, bez ostrých hran a přechodů. V případě nevyleštěného povrchu na výplni a jejím přechodu snáze ulpívá plak a vzrůstá riziko vzniku sekundárního kazu (nově vzniklý kaz u výplně)
  • Bod kontaktu: výplně dotýkající se sousedního zubu musí být v těsném kontaktu. Nemělo by mezi zuby ulpívat jídlo a mezizubní hygiena by se měla dát provádět snadno.
  • Okrajový uzávěr: na přechodu mezi zubem a výplní nesmí být mezera ani schůdek. Výplň musí dobře těsnit. To je důležité zejména v mezizubních prostorách, kde je zhotovení výplně náročnější. Nesmí ani přesahovat okraj zubu v mezizubním prostoru, aby byl dobře čistitelný. Nedocházelo k ulpívání zubního plaku.
  • Vytvarování kousací plošky: u výplní na žvýkacích ploškách musí do sebe zuby horní i dolní čelisti opět vzájemně „zapadat“. Pacient nesmí mít po zhotovení výplně pocit, že při dokousnutí je výplň příliš vysoká a že mu překáží. Totéž nesmí pociťovat při pohybech čelistí do stran.
  • Citlivost: u hlubších kazů ošetřených kovovou výplní k citlivosti dochází téměř vždy kvůli tepelné vodivosti materiálu. Estetické výplně mohou po zhotovení citlivost taktéž vykazovat, ale ne v takové míře jako kovové výplně. Pocit může přetrvávat několik dnů až měsíců, měl by však zcela vymizet. Citlivost na sladké a kyselé poukazuje na netěsnost výplně, citlivost na skus může značit nedostatečnou artikulaci výplně ( jedná se o vytvarování kousací plošky tak, aby do sebe protější zuby správně zapadaly a nepřekážely si při základních pohybech dolní čelisti) nebo recidivující kaz (kaz ponechaný pod výplní).

Přímé zubní výplně, bílá nebo amalgámová plomba?

Přímé zubní výplně jsou plastické materiály, které se nanáší přímo do kavity - dutiny vzniklé po odstranění zubního kazu a tuhnou až po aplikaci. Mezi tyto materiály řadíme amalgám, kompozitní pryskyřice, skloionomery a kompomery.
Amalgám, amalgámová plomba, složení amalgámu, platí se amalgámové plomby?
Nejstarším a nejpoužívanějším materiálem je amalgám. Jde o slitinu kovů jako je hlavně stříbro, měď a cín smíchanými se rtutí. Nanáší se do kavity v plastickém stavu a tuhne až 2 hodiny po aplikaci. Pokud je možné dodržet veškerá pravidla pro jeho zhotovení, je to poměrně trvanlivý materiál pro ošetření zubních kazů.
 
V současné době se používají dva druhy amalgámů:
a) Konvenční amalgám – připravovaný v amalgamátorech v zubních ordinacích v nepřesném poměru jeho složek, proto tyto výplně nejsou kvalitní. Výplň z konvenčního amalgámu je hrazená z veřejného zdravotnictví.
b) Dozovaný amalgám – dodávaný v kapslích v přesném poměru složek. Je kvalitnější, tudíž méně dochází k nežádoucím účinkům.
 
K výhodám patří:
  • mechanická odolnost, trvanlivost
  • odpustí vlhké prostředí při jeho zhotovení
  • dobrá leštitelnost, ale možná až po úplném ztuhnutí
  • určité bakteriostatické účinky díky obsahu stříbra
  • přirozená koroze ve vlhkém prostředí, což dutina ústní bezpochyby je, dochází díky ní k zapečetění spáry mezi zubem a materiálem
  • cena – konvenční amalgám je plně hrazen zdravotní pojišťovnou, takže zdarma. Cena za výplň z dozovaného amalgámu je stále nižší než cena estetické výplně.
K nevýhodám patří:
  • expanze, tj. zvětšení svého objemu. U živých zubů se správnou indikací a přípravou dutiny pro výplň je spíše výhodná, naopak při nedodržení pravidel zhotovení amalgámové výplně a překročení jeho indikací na živém zubu a vždy u zubů zbavených nervu – endodonticky ošetřených může při běžném používání způsobovat nebezpečné fraktury – zlomeniny zubu zasahující až do kořene
  • toxicita a nebezpečnost amalgámu je stále diskutované téma, které dodnes nebylo uzavřeno. Je dokázáno, že určitou část rtuti výplně do organismu uvolňují… Ve státech jako je Švédsko, Norsko a Dánsko zakázali jeho používání.
  • nelze amalgám použít do viditelných oblastí úsměvu

Kompozitní pryskyřice, bílé plomby

Kompozitní pryskyřice neboli bílá plomba se používá jako vysoce estetický materiál zejména na předních zubech. Skládá se ze dvou nebo více složek s různými vlastnostmi. Základem je pojivo, což jsou plastové částice, které se mísí s křemičitými, sklenými nebo keramickými částicemi nazývanými plnivo, které dodávají materiálu jeho pevnost a estetické vlastnosti. 
 
V zubní ordinaci užíváme tři druhy kompozitních materiálů:
a) chemicky nebo taky „samo“ tuhnoucí, kdy k vytvrzení dochází po smíchání dvou složek, v současnosti se moc nepoužívá
b) světlem tuhnoucí takzvaná fotokompozita, kde je k tuhnutí třeba světla specifické vlnové délky vydávaného halogenovou nebo LED lampou – dnes se používá výhradně tato výplň kvůli snadnému použití
c) kombinace obou, ale ty se spíše využívají jako fixační cementy na protetické práce (korunky, můstky)
 
K výhodám patří:
  • správným výběrem barvy a vhodnou kombinací odstínů a barev lze vytvořit výplň téměř nerozeznatelnou od vlastního zubu. Proto je tento materiál využívaný hlavně v předním úseku chrupu
  • speciální přípravou povrchu zubu před aplikací samotné výplně lze dosáhnout velmi pevného a trvanlivého spojení výplně a zubu (adhese)
  • po vytvrzení je výplň okamžitě schopná odolávat mechanickému zatížení
  • nedochází k citlivosti na termické podněty
  • při selhání výplně jsou lehce opravitelné
  • u malých kazů není třeba odvrtávat takové množství tvrdých zubních tkání jako u amalgámu
  • v případě, že lze dodržet stanovená pravidla pro zhotovení výplně, lze kompozitní pryskyřici použít na jakýkoliv defekt
K nevýhodám patří:
  • menší mechanická odolnost oproti amalgámu
  • nemají bakteriostatické účinky, při nedokonalém vyleštění na výplních snadno ulpívá zubní plak, může jednoduše dojít ke vzniku sekundárního kazu
  • barevná nestálost starších materiálů při konzumaci kávy, čaje, červeného vína a barevných potravin, ale s nástupem modernějších materiálů se tato nevýhoda postupně vytrácí
  • během osvícení dochází k jeho smršťování, tím ke vzniku spár a mikrotrhlin. Tomuto lze zabránit správným technologickým postupem vytvrzováním materiálu po vrstvách a použitím LED lampy s programem „soft start“, který dokáže ovlivnit rozdílnou tepelnou roztažnost kompozitních materiálů
  • kompozita jsou velmi citlivá na vlhkost, proto do míst, kde nejde udržet absolutní suché pole např. velké defekty ve stoličkách, nepatří. Této podmínky lze dosáhnout použitím latexové blány zvané koferdam
  • kompozitní výplně jsou „za odměnu“, proto pro pacienty se špatnou hygienou nejsou vhodné

Skloionomerní cementy (GIC)

Taky sklopolyalkenoáty nebo glassinomery mají v řadě ohledů výhodné vlastnosti při ošetření poškozené zubní tkáně. Jejich použití jako definitivního výplňového materiálu je velmi omezené kvůli jejich malé mechanické odolnosti. U stálých zubů se používají spíše jako dlouhodobé provizorium, podložkový materiál, k dostavbě pahýlů pod protetickou práci a u chrupu se zvýšenou kazivostí. Vyrábějí se v mnoha barevných variantách, ale esteticky zdaleka nedosahují kvality kompozitních výplní. Skládají se z částeček křemičitého skla s vysokým obsahem vápníku, hliníku a fluoru smíchaného se slabou organickou kyselinou. V ústech tuhnou do několika minut, ale konečné vyzrávání cementu může trvat až několik měsíců. Aby vyzrávání proběhlo bezpečně, překrývají se vrstvou laku.
 
K výhodám patří:
  • za určitých okolností schopnost podpořit regeneraci oslabené zuboviny v místě odstraněného zubního kazu pomocí uvolňování iontů fluoru do okolí
  • antibakteriální vlastnosti a snížení rizika vzniku sekundárního kazu
  • vazba k zubu je chemická, proto dobře drží u mnoha defektů 
  • toleruje vlhké prostředí při jeho aplikaci
  • jsou materiálem první volby při ošetřování dočasných zubů
K nevýhodám patří:
  • nízká mechanická odolnost a trvanlivost, nelze je použít k ošetření velkých defektů
  • nízká estetika, ale na rozdíl od amalgámu jsou „bílé“

Kompomery

Zubní materiál, který vznikl díky snaze spojit kladné vlastnosti skloionomerního cementu a kompozitní pryskyřice. Složením jsou kompozitní pryskyřice modifikované kyselinou polyalkenoátovou (slabá organická kyselina). S výhodnými vlastnostmi se spojily i nevýhody, proto kompomery jsou estetičtější než skloionomerní cementy, ale nejsou dobře mechanicky odolné. Používají se k ošetření méně mechanicky namáhaných defektů, jako jsou krčkové kazy a je možné je použít při ošetřování dočasného chrupu.
 
K výhodám patří:
  • lepší tolerance vlhkosti při zhotovení výplně než kompozitní pryskyřice
  • složka skloionomerního cementu zlepšuje vazbu na tvrdé zubní tkáně
  • absorpce a uvolňování fluoridových iontů probíhá jako u skloionomerních cementů, ale je podstatně nižší
K nevýhodám patří:
  • nízká mechanická odolnost
  • estetické vlastnosti ve srovnání kompozitními pryskyřicemi jsou horší

Amalgám nebo bílé výplně?

Paní doktorko, používáte dnes vůbec amalgám? Pokud ano, jaký je u vás důvod jejich použití? Proč jej nepoužíváte?
Amalgám používám jenom zřídka a to maximálně 2x do roka. Dle mého názoru je jeho použití ve správné indikaci velmi omezené. Když už se rozhodnu zhotovit amalgámovou výplň tak v případě, že nemohu zajistit vhodné podmínky pro výplň kompozitní nebo ze skloionomerního cementu. . Ale i v tomto jsme stále vzdělanější a šikovnější, takže si umíme pomoci jinak. Jednou jsem zhotovila výplň na přání pacienta, který byl názoru, že kov je kov, čímž zřejmě myslel jeho odolnost.
 
Jak už bylo zmíněno, samotný materiál je neestetický, způsobuje fraktury tvrdých zubních tkání v okolí výplně (nevhodným použitím, rozdílnou tepelnou roztažností kovu a tvrdých zubních tkání) a stále diskutovaná toxicita amalgámu jak pro pacienta, tak i pro samotného lékaře, jsou důvody, které mne ve své praxi, kdy si veškerou péči klient hradí, vedou ke zhotovování výplní kompozitních.
 
Netěsná amalgámová výplň Kompozitní výplň

 

Výplň po artikulaci a leštění
 
 
     
 
 
 
 
 
 
 
 
 
Obr. 1: Netěsná amalgámová výplň na kousací a tvářové plošce, v mezizubí viditelný kaz.
Obr. 2: Kompozitní výplň ihned po zhotovení, před úpravou do skusu, izolace kofferdamem.
Obr. 3: Výplň po artikulaci a leštění.
 
Je vhodné vyměnit amalgámové plomby za bílé výplně? Kde a proč?
Paušálně amalgámové výplně neměním. Pokud jsou správně zhotovené (zůstalo dostatečné množství tvrdých zubních tkání, vhodný tvar v mezizubním prostoru, mají hladký povrch), těsní, nenachází se u nich kaz (lze rozeznat rentgenologickým vyšetřením), jsou dlouhodobě ve funkci bez potíží a pacientovi esteticky nevadí, nevidím důvod k jejich předělání. V případě, že některá z těchto možností nevyhovuje, navrhnu výměnu za výplň fotokompozitní. 
 
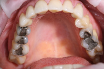
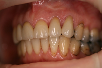
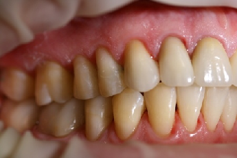
Nevyhovující amalgámové výplně Stav po rekonstrukci zubů

 

Nevyhovující amalgámové výplně Stav po rekonstrukci zubů
Fota vlevo: Nevyhovující amalgámové výplně v horní čelisti a dolní čelisti.
Fota vpravo: Stav po rekonstrukci zubů přímými fotokompozitními výplněmi a nepřímými keramickými výplněmi v horní čelisti a v dolní čelisti.
  
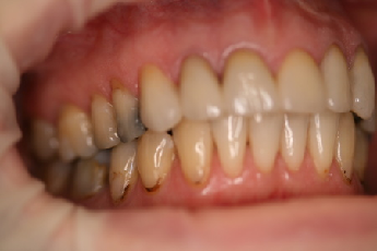
Stav před rekonstrukcí chrupu Stav před rekonstrukcí chrupu
 
Stav po rekonstrukci chrupu Stav po rekonstrukci chrupu
Fota nahoře: Stav před estetickou rekonstrukcí chrupu, zuby ve skusu. Prosvítající rozsáhlé amalgámové výplně, esteticky nevyhovující krčkové výplně. Vlevo: pohled zprava, vpravo: pohled zleva.
Fota dole: Stav po rekonstrukci, zuby ve skusu. Vlevo: pohled zprava, vpravo: pohled zleva.
  • Cena zubního ošetření Praha vs. Brno

    Úplnou náhodou jsem si otevřela stránky jednoho stomatologického centra v Praze a byla jsem překvapena, kolik tam stojí výplň a další. Tak jsem hned poměřila se svou špičkovou stomatoložkou, pak si našla ještě další pražské centrum a zjistila, že ty rozdíly jsou skutečně i více než dvojnásobné, viz srovnání 2 klinik: Vstupní vyšetření: 600 vs. 1790 Kč Výplň kompozitem: 720-1100 vs. 1610-2350 Kč Celokeramická korunka: 7571 vs. 8990 Kč Snímatelná náhrada: Jedna čelist v Praze vyjde skoro jako celá náhrada v Brně To se za chvíli bude z Prahy do Brna jezdit nejen na zákroky korektivní dermatologie, ale i opravovat zuby :-).

    Calamity J.  |  26. 05. 2015, 12:36  |  Reakcí: 1  |  Reagovat  |  Zobrazit všechny reakce  |  URL příspěvku
    • Re: Cena zubního ošetření Praha vs. Brno

      Musím říct že i u nás jsou finanční rozdíly, např. celokeramická korunka 3000,- . Ale doufám že jí ještě dlouho nebudu potřebovat

      Adely  |  29. 08. 2015, 19:29  |  Reagovat  |  URL příspěvku
  • ad. Nevýhody kompozit - nenechte se vyděsit! :-)

    Kompozitní materiály se neustále vyvíjí a znám mnoho takových, u kterých by bylo možné uvedené nevýhody značně zredukovat. Záleží samozřejmě na tom, jaké materiály používá váš zubní lékař, ale u mnoha značek už byl vyřešen: problém s nedostatečnou pevností, problém se smršťováním, některé obsahují fluorid, který se postupně uvolňuje z výplně, takže dochází k remineralizaci kavity atd. atd. Jednou z naprostých novinek jsou dokonce výplňové materiály čistě na bázi keramiky.

    veruli79  |  03. 04. 2015, 16:33  |  Reagovat  |  URL příspěvku

Zatím nejsou vloženy žádné příspěvky

Zatím nejsou vloženy žádné příspěvky

Zatím nejsou vloženy žádné příspěvky

Související články

Dentální hygiena a pravidelná návštěva dentální hygienistky jsou základem správné péče o zuby. Prvotní příčinou všech onemocnění zubů je nedostatečně odstraněný zubní plak. Správné čištění zubů je prvním předpokladem jejich dobré kondice. Ke správnému čištění zubů patří i výběr správných čistících pomůcek - kartáčků, mezizubních kartáčků či nití, a až jako poslední výběr zubní pasty.

Chcete vědět, zda chodíte k estetickému stomatologovi? O tom se přesvědčíte snadno. Zkuste jít k zrcadlu, usmát se na sebe a otevřít ústa. Pokud jste se sami sobě ve všech polohách líbili, zuby byly krásné ze všech úhlů, navíc vás trvale – i ty opravené – nebolí, dále se nekazí a správně koušou, pak chodíte ke kvalitními estetickému stomatologovi.

Pěkné a zdravé zuby mají nezanedbatelný vliv na naše sebevědomí. Společně s očima totiž patří k nejvýraznějším částem obličeje. "Budete-li svým zubům věnovat náležitou péči, ve společnosti přátel či kolegů konečně přestanete maskovat nedokonalosti v ústech a lépe se soustředíte na probíhající hovor," tvrdí doktorka Jana Martincová.

Při intenzivní bolesti zubů, která se ani chvilkově nezmírní, určitě s návštěvou zubní pohotovosti neotálejte. Kdy dále hrozí nebezpečí z prodlení a kam se v jednotlivých městech můžete obrátit?

Nahoru
Tento web používá k poskytování služeb, personalizaci reklam a analýze návštěvnosti soubory cookie. Používáním tohoto webu s tím souhlasíte. V pořádku Další informace