Dentální hygiena a pravidelná návštěva dentální hygienistky jsou základem správné péče o zuby. Prvotní příčinou všech onemocnění zubů je nedostatečně odstraněný zubní plak. Správné čištění zubů je prvním předpokladem jejich dobré kondice. Ke správnému čištění zubů patří i výběr správných čistících pomůcek - kartáčků, mezizubních kartáčků či nití, a až jako poslední výběr zubní pasty.
1. Teoretický základ před návštěvou dentální hygieny
Co je to zubní plak? Indikátor zubního plaku.
Plak je bílo-žlutá hmota ulpívající na ploškách zubů ihned po jejich vyčištění, kterou lze odstranit pouze mechanicky zubním kartáčkem. Obsahuje škálu mikroorganismů, na kterých závisí vznik zubního kazu a zánětlivých onemocnění parodontu, neboli parodontopatií.
Zuby by po vyčištění měly být hladké jako sklo.
Jako indikátor zubního plaku můžeme využít nejprve hmat. Snadná každodenní kontrola správně vyčištěných zubů je pohmatem prováděným jazykem. Jakmile přejedete jazykem zuby po jejich vyčištění, a zuby jsou hladké jako sklo, v žádné nerovnosti není pocitově hrubé místo, jsou zuby dokonale čisté. Pro vizuální kontrolu můžete pro zjednodušení použít plak detekčních tablet, které po rozžvýkání obarví a zvýrazní místa, kde plak stále ulpívá. Z toho lze vyvodit, kde vám čištění dělá obtíže a kde ještě zvýšit úsilí.
Správné čištění zubů, správná technika čištění zubů
Každá literatura udává několik technik čištění, jak dokonale vyčistit zuby. Tyto metody jsou rozdílné a nejde paušálně doporučit, která z nich je nejlepší pro všechny jedince.
Správná technika čištění je základ, který vás naučí dentální hygienistka.
Proto je vhodné navštívit dentální hygienistku, která vybere techniku individuálně. Pro příklad jednou ze základních technik čištění je technika drobných kroužků pod úhlem 45° na každé čelisti zvlášť. Časově není čištění zubů ohraničeno. Neplatí, že je nutné čistit zuby 2 až 3 minuty, ale platí, že zuby čistíme, dokud nejsou úplně čisté. A to každému trvá rozdílný čas, podle jeho zdatnosti a stavu dutiny ústní.
K čištění zubů používáme měkký zubní kartáček s rovně střiženými vlákny.
Kvalitu vyčištěných zubů lze ovlivnit i výběrem vhodného zubního kartáčku a odpovídající velikostí mezizubních kartáčků. Vhodný kartáček by měl být měkký, měl by mít velký počet vláken, která jsou rovně střižená a rovně probíhající. Neměl by mít v sobě plastové či gumové prvky (plátky, kroužky, vlnky...) a neměl by být ohebný. Počet vláken lze snadno zjistit na obalu kartáčku či na samotném kartáčku. A proč kartáček hustý a měkký? Čím větší je počet vláken, tím se zvyšuje čistící plocha. Měkký kartáček umožní správné ohnutí vláken do úrovně jejich největší čistící síly bez použití nadměrného tlaku na kartáček.
![]() |
![]() |
Foto: vlevo zubní mikrobiální povlak, vpravo plak obarvený plak detekční tabletou (dlouhodobě neodstraněný plak je obarven sytě fialovou barvou, světle fialový je plak krátkodobě ulpělý).
Co je to zubní kámen, odstranění zubního kamene
Zubní kámen vzniká mineralizací dlouhodobě neodstraněného zubního plaku.
Mineralizační centra zubního kamene vznikají již třetí týden tvorby plaku. Pevně ulpívá na povrchu zubu a nelze jej odstranit zubním kartáčkem. Může se nacházet na povrchu zubu nad dásněmi (supragingivální), ale i na povrchu kořene zubu pod dásněmi (subgingivální).
Supragingivální zubní kámen je světlé barvy, ale může být i pigmentovaný z vnějších vlivů (káva, čaj, tabák).
Subgingivální kámen je díky odbouranému červenému barvivu z rozložených červených krvinek tmavé barvy. Je tvrdší a pevnější než kámen supragingivální. Pevně lpí na povrchu zubního kořene.
Může se vyskytovat na jakémkoliv místě v chrupu pod okrajem dásně. Oba typy zubního kamene škodí dásni z hlediska dráždění a ulpívání většího množství plaku. Pokud není zubní kámen odstraněn, je jeho výsledkem postupná progrese (zhoršování) zánětu, vznik parodontopatií (nemocí závěsného aparátu zubu a dásní) a až ztráta zubu.
K odstraňování supragingiválního kamene se využívá ručních nástrojů – kyret, scalerů (rovné nebo různě zahnuté nástroje velikosti a tvaru šroubováku) a ultrazvukových přístrojů. Mezi nejužívanější nástroje, kterými se odstraňuje subgingivální kámen patří kyrety, ultrazvukové nástroje se subgingivální koncovkou a přístroj (piezoelektrický přístroj pro odstraňování subgingiválního zubního kamene).
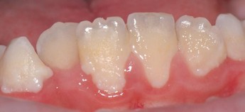
Zubní kaz, vznik zubního kazu
Zubní kaz je patologický proces mikrobiálního původu postihující tvrdé zubní tkáně (zubní sklovina, zubovina, cement), především zubní sklovinu. Je výsledkem dlouhodobé nevyhovující situace v dutině ústní zapříčiněné nedokonale odstraněným zubním povlakem. Charakteristický je vznikem mikroskopické léze, pokračující vznikem demineralizačního ložiska (křídově bílá skvrna) tvrdých zubních tkání a následně vytvořením dutiny, či až rozpadem struktur zubu především v oblasti korunky zubu.

Pro vznik zubního kazu je zapotřebí několika přítomných faktorů:
- zubní mikrobiální povlak (plak)
- sacharidy (cukry) přijímané z potravy
- čas, po který uvedené faktory působí
- zubní tkáň
Do určité fáze poškození skloviny kazivou lézí je stav vratný. Například demineralizační ložisko lze ještě zastavit bez nutnosti porušení zubních tkání („vrtání“). Pokud nastane včas remineralizace skloviny, kazivý proces lze zastavit. Jakmile demineralizační proces převáží nad remineralizačním procesem a demineralizace trvá po delší časový úsek, kazivá léze postupuje a prohlubuje se do hlubších struktur zubu. Remineralizace nastává fyziologicky několikrát během dne. Demineralizace převažuje tehdy, když je přítomný plak, zubní kaz, zánět v dutině ústní či při neustálém příjmu potravy a slazených nápojů.
![]() |
![]() |
Foto: Zubní kaz
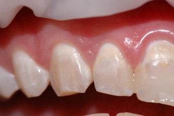
Parodontopatie, parodontóza
Jako parodontopatie jsou souhrnně označovány nemoci parodontu (závěsného aparátu zubu a dásní). Nejzákladnějšími onemocněními jsou zánět dásně a parodontóza. Vznik parodontopatií může být z několika příčin, ale nejčastější příčinou je mikrobiální zubní povlak.
Gingivitida podmíněná plakem je nejčastějším onemocněním dásní. Vyskytuje se asi u 90 % jedinců. Vzniká při dlouhodobě nedokonalé ústní hygieně či hygieně dutiny ústní zcela chybějící. Plakem podmíněný zánět dásně může být primárně z příčin malhygieny či nevhodné techniky čištění. Sekundárně vzniká zánět dásně destrukcí mechanickým kartáčkem, iatrogenním poškozením – tedy ze strany zdravotníka (např. nevyhovující výplně) a fyzikálním nebo chemickým poškození (např. odlišné kovy v dutině ústní). Rozsah zánětu je od postižení jedné mezizubní papily po rozsáhlý zánět po celém chrupu. Zánět dásně je vždy podmíněn přítomností plaku na zubních ploškách, v mezizubních prostorech, na převislých výplních a korunkách, zubních kořenech a na depozitech zubního kamene.
Hlavními příznaky zánětu dásně jsou: červené až červenofialové (lividní) zbarvení dásně, otok, krvácení na podnět či spontánně a bolestivost.
U kuřáků jsou projevy zánětu viditelné v menší míře. Při kouření nastává tepelné poškození tkání (až 80 °C). Působením nikotinu nastává vasokonstrikce (stažení) cév zásobujících dáseň živinami a kyslíkem, a tím dochází k nedostatečnému prokrvení a následuje odúmrť buněk. U mladších jedinců je přítomná vysoká prostupnost toxických látek a zplodin, proto platí „čím je mladší kouřící jedinec, tím je větší poškození tkání“.
![]() |
![]() |
Foto: Zánět dásně
Parodontitida je chronické zánětlivé onemocnění závěsného aparátu zubu postihující všechny tkáně parodontu. Průběh tohoto onemocnění je vždy chronický se střídáním dvou fází – období latence (klidu) a období progrese (vzplanutí).
Správná diagnostika tohoto onemocnění je vždy podložena přítomností tří hlavních znaků:
- gingivitis (zánět dásně)
- pravé parodontální choboty
- resorpce (vstřebávání, odbourávání) alveolární kosti.

Parodontitis u dospělé populace je nečastějším onemocněním postihující parodont. Parodontóza je příčinou ztráty zubu v 80 %. Parodontóza vzniká jako následný zánět kosti při dlouhotrvajícím zánětu dásně, kdy přechází zánět dásní do hlubších struktur. Bakterie způsobující zánět dásně postoupily až na alveolární kost a periodontální vazy, ve kterých je zub uchycen. Prostor, který vzniká mezi zubem a kostí, je označován jako parodontální chobot. Parodontální chobot je osídlen koloniemi agresivních bakterií, které dále poškozují závěsný aparát, tvoří toxiny a oslabují organismus. Díky toxickým látkám dochází k rozrušení struktury kosti, vazů, povrchu zubu a dásní. Vzniklá hmota zmineralizuje, podobně jako zubní kámen, a vzniká z ní poddásňový zubní kámen, který pevně lpí na kořenu zubu. Dokud jsou přítomné faktory (plak, bakterie, poddásňový zubní kámen), nemůže se zánětlivý proces zastavit a onemocnění se zhoršuje. V období progrese, neboli vzplanutí choroby, bakterie vyhrávají nad imunitou a porušují strukturu kosti a vazů. Projevem je krvácení, bolestivost. Následně je období vzplanutí vystřídáno obdobím latence, které je charakteristické ustoupením obtíží (dásně nekrvácí). V tomto období vyhrála vlastní imunita nad bakteriemi a snaží se jich zbavit v podobě poddásňového kamene. Při každém střídání období přichází zub o svůj závěsný aparát, ubývá kosti a periodontálních vazů, klesá úroveň dásně a obnažují se krčky. Při dlouhotrvající parodontóze nebo při agresivní formě nakonec dochází k viklavosti, rozestoupení zubů a k jejich ztrátě.
![]() |
![]() |
Schémata: Rozdíl mezi zánětem dásně a parodontózou – nalevo zánět dásně: úbytek kosti není přítomný, je pouze postižena dáseň; napravo parodontóza: přítomný úbytek kosti a periodontálních vazů, postižena kost i dáseň.
Zbarvení zubů, mrtvý zub
Zuby mohou mít mnoho odstínů. Jejich barva je dána několika faktory. Primárně ji ovlivňuje odraz světla - průsvitnost. Pokud je sklovina více průsvitná, prosvítá pod ní zubovina, která je žlutavé barvy. Sklovina může být zbarvena exogenně nebo endogenně.
Exogenní zbarvení způsobují vnější vlivy, jako například pigmenty z kávy, čaje (především černého a zeleného), červeného vína, ale také při ústním dýchání dochází k většímu ulpívání pigmentací. Pigmenty zanechávají i některé chemické látky, například některé léky, ústní vody či zubní pasty. Takovéto povrchové pigmentace lze lehce v ordinaci odstranit pomocí depuračního kartáčku nebo speciální metodou Airflow. Usazování povrchových pigmentů lze ovlivnit dobrou hygienou nebo užíváním enzymatických bělících past. Během života, vlivem stárnutí a zvýšením absorpce skloviny z hlediska pohlcování pigmentů se zuby zbarvují a tmavnou.
Endogenně zbarvené zuby jsou zuby devitální (mrtvé zuby), jejichž barvu ovlivňuje výplň zubu, ale především jejich ztráta vitality. Devitální (mrtvé) zuby ztrácejí svou barvu, dostávají barvu odlišnou (nejčastěji odstíny šedivé a žluté) a ztrácejí svou pevnost. I barvu mrtvých zubů lze ovlivnit, a to vhodným ošetřením u zubního lékaře a vnitřním bělením pomocí peroxidu vodíku nebo perboritanu sodného, které také provádí lékař.
Metoda Air-flow
Air-flow neboli „pískování“ je metoda, která se využívá pro odstranění pigmentací a povlaků. Jde o směs abrazivního prášku, tlaku vzduchu a vody. Částice prášku jsou zaoblené a velmi drobné. Tvrdost těchto částic je v rozmezí hodnot tvrdosti skloviny, dentinu a cementu (5-2 dle Mohse), tak aby nedocházelo k jejich poškozování. Pro ochranu měkkých tkání před proudem se často využívá rozvěrač a buničité čtverce chránící měkké tkáně. Voda a písek jsou během ošetření odsávány savkou. Někdy dostává pacient přes obličej speciální roušku či ochranné brýle.
![]() |
![]() |
Foto: Odstranění pigmentů na zubech metodou Airflow. Vlevo před, vpravo po pískování.
Bělení zubů
Bělení zubů se rozděluje:
a) vnitřní x vnější bělení zubů
b) ordinační x domácí bělení zubů
c) mechanické x chemické bělení zubů
Srovnání, výhody a nevýhody bělení zubů
Mechanické bělení se provádí pomocí abrazivních látek (bělící pudry, abrazivní bělící zubní pasty). Tato metoda odstraní povrchové pigmentace, ale může způsobit nevratné poškození tvrdých zubních tkání. Příliš se nedoporučuje.
Chemické bělení se provádí pomocí chemických látek v zubních pastách, bělících gelech apod. Nejčastější bělící složkou v bělících gelech je peroxid vodíku nebo karbamid peroxid. Na přírodních enzymech jsou založené enzymatické bělící pasty. Chemické bělení je nejvíce doporučované. Mezi značné nevýhody bělení patří především skutečnost, že bělení nezmění barvu protetických prací (korunky, můstky) a výplní. Je tedy nutné počítat s následnou výměnou těchto prací.
Ordinační a domácí bělení zubů
Rozdíl mezi ordinačním a domácím bělením zubů je především v obsahu peroxidu v bělících gelech, dále v místě, kde se bělení provádí, v době samotného průběhu bělení a v získaném výsledku. Pro ordinační bělení se především využívá účinku peroxidu vodíku v různých koncentracích, zpravidla ale vyšších, než je využíváno pro domácí bělení. Pro domácí bělení se obvykle používá karbamid peroxid, který je asi 3x slabší než peroxid vodíku. Díky tomu je ordinační bělení oproti domácímu, rychlejší, s větším účinkem, ale někdy i s větší přecitlivělostí zubů. Po ordinačním bělení se doporučuje dodržovat tzv. bílou dietu po dobu dvou dnů. Bílá dieta po bělení zubů spočívá v absenci příjmu vysoce pigmentované potravy a nápojů (např. káva, čaj, červené víno, borůvky, jahody, kari, kurkuma, kečup, hořčice atd.). Dále je nezbytné vynechat kouření. U domácího bělení je nutné dodržovat bílou dietu po celou dobu bělení, tj. například pro požadovaný výsledek je někdy nutné bělit opakovaně i 14 dní, a po celou tuto dobu musí jedinec dodržovat bílou dietu a může očekávat přecitlivělost zubů. Tato citlivost ale zpravidla trvá 12 hodin. Při domácím bělení, po odeznění citlivosti, lze znovu bělit. Pro snížení citlivosti je doporučené používat před i po bělení výživový krém.
Výživový systém GC MI Paste a Tooth Mousse, posílení zubů
Účinek výživového krému na zuby je založen na obsahu přírodního mléčného proteinu (kasein), který napomáhá při remineralizaci skloviny tím, že navrací chybějící minerály do skloviny. Kasein fosfopeptid (amorfní fosforečnan vápenatý/CPP-ACP) má schopnost vázat vápník, fosfát a fluoridové ionty na povrch zubu. Výsledkem je posílená sklovina se sníženou citlivostí. Vlastnosti tohoto krému jsou využívány především před a po bělení zubů, při zvýšené kazivosti zubů, v těhotenství, při erozích (narušení povrchu) skloviny a jako prevence.
2. Kdo je dentální hygienistka
Dentální hygienistka se zabývá šířením zdravotnické osvěty, motivuje a instruuje pacienty k ústnímu zdraví, informuje o racionální výživě. Provádí individuální nebo kolektivní zdravotně výchovnou činnost zaměřující se na prevenci zubního kazu, parodontopatie, odhalení ortodontických anomálií a na profylaxi ústních onemocnění, parodontologických změn a jejich zhoršování. Dentální hygienistka je speciálně vyškolený zdravotnický pracovník. Pro tuto pozici musí mít vystudovanou střední školu a následně úspěšně absolvované tři roky na vyšší nebo vysoké škole. Po ukončení studia najdeme titul Bc. před jménem nebo titul DiS. za jménem hygienistky.
3. Kdy absolvovat návštěvu dentální hygienistky
Zpravidla platí, čím dříve navštívíte dentální hygienistku, tím lépe pro vaše zdraví a to nejen ústní.
Pravidlo pro zdravé zuby: 2x ročně nejen k zubnímu lékaři, ale i na dentální hygienu!
Obecně se doporučují pravidelné návštěvy alespoň 2x ročně s ohledem na vaše ústní podmínky. To znamená, že pokud trpíte parodontózou, máte implantáty či jste ortodontický pacient, měli byste navštěvovat hygienistku častěji, dle jejího doporučení (cca 3-4x ročně). Vhodně načasovaná návštěva hygienistky je ideálně před návštěvou zubního lékaře z důvodu možné přítomnosti plaku, zubního kamene či zánětu.
4. Dentální hygiena - průběh návštěvy u dospělých
V hodinovém ošetření v rámci dentální hygieny se provádí:
- zhodnocení úrovně dentální hygieny – hygienistka vám ukáže přesná místa, kde vám ulpívá plak a z jakého důvodu a poradí, jak správně čistit zuby.
|
|
|
- diagnostika, zhodnocení vyšetřených parodotálních indexů a stanovení léčebného plánu – diagnostika a zhodnocení indexů obnáší vyšetření dásní, jejich krvácivost a přítomnost parodontálních chobotů.
|
|
|
- požádat můžete o tzv. fialovou tabletu (plak detekční tableta) - která označí místa, kde není plak dokonale vyčištěn. Dlouhodobě neodstraněný plak je obarven sytě fialovou barvou, jednodenní je světle fialový až růžový. Běžně se toto s dospělými na dentální hygieně nedělá, spíše je používáno u dětí nebo ortodontických pacientů, ale v podstatě se jedná o nejlepší metodu odhalení problému při čištění.
|
|
|
- odstranění zubního kamene – manuálně či mechanicky. Po zhodnocení úrovně hygieny a diagnostice přichází na řadu odstranění zubního kamene nad dásněmi i pod dásněmi. Odstranění zubního kamene se provádí pomocí ultrazvuku či ručních nástrojů. Obě metody se navzájem kombinují podle potřeby pro nejlepší výsledek.
- odstranění povrchových pigmentů od kávy, čaje a kouření (depurace): Po odstranění zubního kamene následuje zaleštění skloviny, odstranění plaku a drobných pigmentací speciální pastou s fluoridy.
|
|
|
- odstranění odolných pigmentací od kávy, čaje, kouření se provádí pomocí přístroje Airflow. Ošetření je rychlé, šetrné a přitom velmi účinné.

- fluoridace pomocí fluoridových laků, gelů či roztoků. Používané jsou jako prevence vzniku zubního kazu a při citlivosti krčků.
- Následně probíhá motivace a instruktáž správné techniky čištění.
- A na závěr individuální výběr pomůcek – přeměření mezizubních prostor, zvolení nejlepší techniky čistění klasickým kartáčkem či doplnění dalšími pomůckami (např. Solo kartáček, dentální nit, supefloss a jiné).
![]() |
![]() |
Fota: Ostatní prostředky pro dentální hygienu.
5. Ceník dentální hygieny
Ceny si určuje každá ordinace sama. Dentální hygiena není proplácena zdravotní pojišťovnou.
Jen pro příklad: Cena se v jednotlivých krajích ČR liší. Pro srovnání v Praze vychází hodina hygieny cca od 900 – 1500 Kč. V Brně cca 750 - 1200 Kč. Záleží ale také na tom, co se provádí za výkony.
- Například pískování (airflow) je většinou s příplatkem. Takové ošetření stojí od 1000 - 1300 Kč.
- Další většinou zvlášť účtovanou položkou hygieny je poddásňové ošetření (kyretáž). Cena se pohybuje od 1000 - 2000 Kč.
- Záleží, kolikrát bude muset pacient přijít. Kontrola se cenově pohybuje od 480 - 1000 Kč. Zde se cena odvíjí od toho, na jak dlouho má hygienistka nastavenou dobu kontroly (někdy 30 minut, jindy 1 hodinu).
Na Babyonline.cz si můžete přečíst: Dentální hygiena u dětí.
Fotografie: Archív autorky a vydavatelství Babyonline
Autor: Petra Koucká, DiS.














