V posledních letech se zvýšil zájem o krásný zářivě bílý úsměv. Mnoho lidí považuje bílé zuby za jednu z podmínek úspěchu ve společnosti. Úsměv je od minulosti považován za nonverbální komunikaci, využívá se i jako pracovní nástroj a v neposlední řadě je chápán jako přirozená krása. Zbarvené zuby mohou být ve společnosti posuzovány jako estetická vada.
Historie bělení zubů
V historii se k zesvětlení barvy zubů používaly mechanické přípravky, jako je popel a sůl. Až koncem 18. století se zuby začaly bělit pomocí kyseliny chlorovodíkové, kyseliny šťavelové a chlornanu vápenatého. Často ale docházelo k poleptání měkkých tkání (dásní, sliznic), poškození skloviny a zvýšené kazivosti. Až v roce 1989 se začalo bělení podobat dnešní formě. K bělení se začal používat karbamid peroxid a individuální nosiče na zuby. V dnešní době se používá peroxid vodíku, karbamid peroxid a perboritan sodný tetrahydrát.
Zbarvení zubů
Zbarvení zubů můžeme rozdělit dle lokalizace na vnitřní a vnější, dále na exogenní a endogenní.
Při vnitřní lokalizaci dochází k zabarvení vlastních struktur zubu tj. tvrdých zubních tkání. Toto zabarvení může vznikat již při vývoji zubů (užívání tetracyklinových antibiotik, úrazem před prořezáním stálého zubu), použitým dentálním materiálem při ošetření u zubního lékaře (amalgám, endodontické materiály), či po úrazu stálého zubu, kdy dochází k devitalizaci zubní dřeně. Takto zabarvený zub vyžaduje ošetření u zubního lékaře. Lékař odstraní ze zubu zbytky odumřelé tkáně a provede vnitřní bělení zubů. Při vnitřním bělení lékař aplikuje bělící gel na zuby a nechá ho po několik dní působit. Bělící procedura se opakuje tolikrát, dokud nedoje k vybělení zubu do požadovaného odstínu. Poté následuje definitivní zaplnění korunkové části zubu tj. zhotovení výplně.
Při vnější lokalizaci je zub zbarven zvnějšku povlaky a pigmenty, které lze snadno odstranit. Pigmentace a povlaky vznikají při nedostatečné hygieně, kouřením, přijímáním potravin, které zanechávají pigmenty (červené víno, káva, červená řepa, kari, kurkuma a jiné). Tyto pigmentace na zubech lze odstranit v ordinaci dentální hygienistky nebo lékaře mechanicky.
Prostředky k bělení zubů
- mechanické
- chemické
Mechanické bělení zubů
Pomocí mechanických prostředků lze odstranit povrchové pigmentace. Hojně se v zubních pastách využívají látky jako uhličitan vápenatý, oxid křemičitý, oxid hlinitý, fosforečnan vápenatý a jiné. Tyto abrazivní látky napomáhají k rychlejšímu odstranění plaku a pigmentací. Větší množství abrazivní látky znamená vyšší brusnost zubní pasty (RDA = relativní dentinová abraze). Pasty, které nejsou abrazivní, zubům neublíží, mají hodnotu do 120 RDA. Tento údaj však není běžně napsaný na obalu past a často není ani k dohledání na internetu. Lze ho však zjistit ve speciálních obchodech se zubními pomůckami. U past s vysokou brusností může dojít až k porušení zubní skloviny. Vhodnější je používat pasty s nízkou abrazivitou nebo pro odstranění povrchových pigmentací enzymatické bělící pasty. Enzymatické bělící pasty obsahují přírodní enzymy z papáji, ananasu či lišejníku arktického, které zabraňují ulpívání pigmentů na povrchu zubu.
Není vhodné používat abrazivní látky, jako jsou bělící pudry, popel, sůl, soda a jiné. Jejich vysoká hodnota abraze vede k nenávratnému porušení zubní skloviny a následně dentinu. Může vést až ke vzniku klínových defektů.
V zubní ordinaci nebo v ordinaci dentální hygieny se pro odstranění povrchových pigmentací využívají speciálně upravené látky nízké abraze se zaoblenými částicemi, které nenarušují zubní sklovinu ani dentin. Profesionálně odstranit pigmentace lze depurací nebo technikou air-flow.
![]() |
![]() |
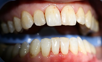
Foto1,2: Vlevo povrchové pigmentace odstranitelné air-flow. Vpravo po ošetření air-flow - bez povrchových pigmentací.
Chemické zesvětlení zubů
Dělí se na ordinační a domácí bělení zubů.
Pro chemické zesvětlení zubů se využívají vlastnosti peroxidu vodíku, který je obsažen v bělících gelech. Bělící látky mohou být i karbamid peroxid nebo perboritan sodný tetrahydrát, které se vždy rozkládají na peroxid vodíku. Díky peroxidu vodíku dojde ve struktuře zubu k rozrušení chemických vazeb pigmentů a následně ke změně barvy ke světlejším odstínům. Bělící látky jsou v bělících gelech přítomny v různých koncentracích, které ovlivňují dobu účinku, výslednou barvu a následnou citlivost.
Zásady pro bělení zubů
Před samotným bělením je vždy nutné dodržet několik zásad. V ústech nesmí být přítomen plak, zubní kámen, zubní kazy ani probíhající zánět. Bělení se nesmí provádět u mladších osob 18 let, těhotných nebo kojících žen, či 6 měsíců po sundání fixního ortodontického aparátu (rovnátka). Zubní lékař by měl před bělením opravit zubní kazy, nevyhovující výplně, dentální hygienistka odstranit zubní kámen a pigmentace. Pro dokonalý výsledek je zapotřebí pečlivá dentální hygiena.
Ordinační bělení zubů
Provádí se v zubní ordinaci pod profesionálním dohledem zubního lékaře. Využívá se často peroxid o vyšší koncentraci než při domácím bělením. Díky tomu je bělící účinek rychlejší a intenzivnější oproti bělení domácímu. Může ale vznikat následná větší citlivost, která vymizí do 12 hodin po bělení. Ke zvýšení účinku bělení lze využít speciálních LED nebo UV bělících lamp. K dovršení požadovaného výsledku je po ordinační bělením vhodné následné domácí bělení.
Postup ordinačního bělení
Ordinační bělení probíhá v několika krocích. Nejprve se zhotoví fotodokumentace se vzorníkem barevných odstínů pro porovnání bělícího účinku před a po. Poté následuje zaizolování dásní pomocí tekuté pryskyřice. Bělící gel nesmí přijít do styku s dásní, mohlo by nastat její popálení.
Foto3: Příprava před samotným bělením. Rozvěrač na ústa; zaizolované dásně a měkké tkáně.
![]() |
![]() |
Foto4,5: Vlevo izolace dásní brání před kontaktem sliznic s bělícím gelem. Vpravo pro dokonalý výsledek nesmí izolace přesahovat vetší část zubu, ale musí dostatečně těsnit.
Poté se aplikuje bělící gel na vestibulární plošky zubů po určitý čas daný výrobcem.

Foto6: Nanesený bělící gel na vestibulární plošky zubů.
Obvykle se bělení provádí v úseku od druhého třenového zubu po druhý třenový zub tj. od pětky po pětku. Tato linie se označuje jako linie úsměvu, tedy ta část zubů, která je viditelná při úsměvu. Po dokončení bělení se odstraní bělící gel, izolace dásní a měla by následovat bezprostředná fluoridace zubů pomocí fluoridačních přípravků.
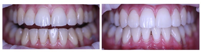
Foto7: Vlevo stav před bělením; vpravo stav po bělení.
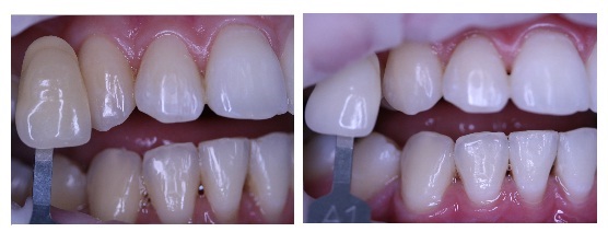
Foto8: Srovnání barevných odstínů se vzorníkem před a po bělení.
Domácí bělení zubů
Domácí bělení zubů pod dohledem lékaře
Výhodou domácího bělení zubů je volba místa a času. Zpravidla se používají slabší koncentrace peroxidu vodíku. Nejčastěji se používá karbamid peroxid. Díky nižší koncentraci není bělící účinek tak intenzivní jako je to u ordinačního bělení, ale následná citlivost bývá menší nebo žádná. Domácí bělení zubů je pro dosažení výsledku potřeba opakovat několik dní (až 14 dní) vždy po vymizení citlivosti, dle doporučení výrobce daného výrobku, lékaře nebo dentální hygienistky. Bělící gel pro domácí bělení je k zakoupení u zubního lékaře. Jen tak se vyhnete komplikacím v podobě nižší kvality či placeba. Pro aplikaci na zuby jsou nutné speciální nosiče, které zhotoví z provedených otisků u lékaře nebo hygienistky zubní laboratoř. Nosiče kopírují tvar zubů a jsou střižené podle okraje dásní. Měly by těsně naléhat na zuby a tím zabránit úniku bělících prostředků mimo nosiče. Do těchto nosičů se aplikuje malé množství (menší kapka) bělícího gelu do každého zubu na vestibulární plošku a dodržují se doporučení o délce a opakování bělení. Tyto nosiče lze využít i pro fluoridaci a výživu zubů.
![]() |
![]() |
Foto 9,10: Vlevo ilustrační množství bělícího gelu naneseného do nosičů na vestibulární plošky zubů. Vpravo individuální nosiče zhotovené z otisku zubů.
Volně prodejná bělící pera na zuby, bělící pásky, nosiče
Na trhu můžeme najít nespočet přípravků pro domácí bělení, jako jsou bělící pera na zuby, bělící pásky, nosiče. Bělící pásky a nosiče nepřiléhají těsně k zubům a může docházet k zasažení dásní bělícím přípravkem. Při zasažení dásní dojde k poleptání a na dásni se vytvoří bílé eroze, které jsou bolestivé. Velký rozsah popálení může vést až k odumření postižené oblasti. Bělení zubů těmito přípravky často vede jen k vysušení povrchu zubů, tím se zdá odstín zubů světlejší. Výsledek se však brzy vrátí do původního stavu. Lepší volbou je tedy domácí bělení pod profesionálním dohledem s použitím individuálně zhotovených nosičů.
Foto11: Popálenina vzniklá při zásahu bělícího gelu na dáseň.
Režim po bělení zubů - co můžu pít a jíst
Po každém bělení by měla následovat fluoridace nebo výživa zubů a doporučuje se tzv. bílá dieta. Výživu zubů je vhodné provádět ještě 14 dní po bělení pomocí fluoridových přípravků nebo speciálním výživovým krémem na zuby. Při bílé dietě by se měl jedinec vyvarovat konzumaci vysoce pigmentovaných potravin a nápojů, jako je například černá káva a čaj, červené víno, jahody, maliny, borůvky, kari, kečup, kurkuma, citrusy, červená řepa a vynechat kouření po dobu 2 dnů od bělení.
Výsledek bělení zubů
Dlouhodobost výsledku je individuální, záleží na mnoho faktorech, jako je dodržení bílé diety, dokonalá dentální hygiena, životospráva, kouření. Aby výsledný barevný odstín zubů vydržel po co nejdelší dobu (i několik let), je zapotřebí i po skončení těsného období po bělení pokračovat ve výborné dentální hygieně, používání mezizubních kartáčků a dentální nitě, či pravidelných návštěvách dentální hygienistky. Jako doplněk lze využívat vlastnosti enzymatických bělících past.
Bělení a výplně, vybělí se i výplně?
Je důležité vědět, že bělení zubů nepůsobí na výplně a protetické práce. Každý materiál časem zvyšuje svoji porezitu, a tak může dojít k jeho zabarvení. Může se zdát, že se při bělení výplně a protetické práce zesvětlí, ale nikdy nebudou světlejší, než byla jejich původní barva při zhotovování. Pokud je před bělením zubů potřeba odstranit kazy, nebo je bělení součástí léčebného plánu, zhotovují se výplně a protetické práce jen provizorně. Až po bělení a ustálení barvy (asi 14 dní po bělení) se mohou zhotovit definitivně. Tím se docílí vysoké estetiky.
Cena bělení zubů
Cena bělení zubů závisí na kalkulaci každé ordinace a na použitém materiálu. Obvyklá cena se pohybuje cca od 4 000 - 15 000 Kč. Příliš nízká cena odpovídá kvalitě materiálu a profesionálnímu přístupu. Profesionální bělení zubů lze ze zákona vykonávat pouze v zubních ordinacích.
Shrnutí informací o bělení zubů
Pamatujte, že před bělením je nutná dokonalá hygiena. V ústech nesmí být kazy, záněty ani zubní kámen a povrchové pigmentace. Je vhodné před bělením navštívit zubního lékaře nebo dentální hygienistku. Pod povrchovými pigmenty či zubním kamenem se barva zubu nemění. Jakmile tedy dojde k jejich odstranění, budou mít tato místa odlišnou barvu. Nezapomeňte, že korunky, můstky ani výplně se nevybělí.
Rozdíl mezi ordinačním a domácím bělením je především v obsahu peroxidu v bělících gelech, dále v místě, kde se bělení provádí, v době samotného průběhu bělení a v získaném výsledku. Pro ordinační bělení se využívá účinku peroxidu vodíku s vyšší koncentrací.
Oproti domácímu bělení je ordinační bělení rychlejší, účinnější, zuby mohou být citlivější. Pro domácí bělení s individuálními nosiči zhotovenými v zubní laboratoři se používá karbamid peroxid o nízké koncentraci.
Při domácím bělení a použití pásek či universálních nosičů, které neudrží bělící gel pouze na povrchu zubů, může dojít ke komplikacím v podobě popálenin dásní.
Pro udržení výsledku je nutné dodržet bílou dietu po dobu 2 dní po bělení a výbornou dentální hygienu.
Autor: Petra Koucká, DiS.







