Na trhu je spousta produktů, které slibují až pohádkově dlouhé řasy. Je možné jim věřit? Kupodivu ano. Vybrali jsme si dvě séra s růstovými faktory na řasy a jednotlivá stádia nafotili.
Účinnost který sér na řasy jsme zkoumali?
Jednak Medik8 Full Lash & Brow Duo a dále HAIRPLUS. Obě séra deklarují účinek na růst řas přítomností peptidů a vitamínů.
Výrobci doporučují pro dosažení krásných řas užívání v délce minimálně 6 až 8 týdnů. My srovnáváme účinek vždy po 4 týdnech každodenní aplikace s tím, že jsme zcela v mezidobí s užíváním séra na řasy nepřestali.
Produkt Medik8 Full Lash & Brow Duo se již nevyrábí, na našem e-shopu ho nahradila séra Pelo Baum Lash Lash a Pelo Baum Brow Brow. Jejich účinnost jsme v tomto článku netestovali.
Složení obou sér na řasy - musí výrobce uvádět všechny složky?
Asi nejviditelnějším rozdílem je přítomnost parabenů v séru Hairplus, zatímco sérum na řasy Medik8 Full Lash & Brow Duo je neobsahuje. Medic8 je oboustranné, z jedné strany obsahuje sérum s aplikátorem na řasy, z druhé na obočí.
| Hairplus | Medik8 Full Lash & Brow Duo |
|---|---|
| voda, carnauba wax / copernicia cerifera, hydrogenated olive oil stearyl esters, (Cl 77499) iron oxide, rice wax / oryza sativa, candelilla wax, acacia gum /acacia senegal, stearic acid, shellac, triethanolamine, VP/VA copolymer, titanium dioxide (Cl 77891), black No. 2 (Cl 77266), aminomethylpropanediol, ascorbyl palmitate, phenoxyethanol, methylparaben. | voda, glycerin, panthenol, methylpropanediol, polysorbate 20, propanediol, caprylyl glycol, arginine, lactic acid, sodium hyaluronate, xanthan gum, tocopheryl acetate, glycine soja (soybean) germ extract, phenylpropanol, triticum vulgare (wheat) germ extract, lysine, sodium metabisulfite, 1,2-hexanediol, gluconolactone, scutellaria baicalensis root extract, sodium benzoate, myristoyl pentapeptide-17, biotinoyl tripeptide-1, benzoic acid, calcium gluconate |
Stran složení sér nás napadla ještě otázka, se kterou jsme se obrátili na časopis dTEST:
Může výrobce některou složku zatajit, resp. je to nějak postižitelné?
Jakými metodami jsme séra na řasy testovali?
První foto je z doby, kdy testovaná osoba nepoužívala žádné sérum. Před testováním jsme ji však nemohli donutit nepoužívat žádná séra – když je jednou poznáte, už s nimi nechcete přestat :-). Proto jsme se domluvili, že vždy před zahájením testování séra bude měsíční období, tzv. wash-up period, kdy bude používat jakékoliv sérum pouze 2x týdně. Pak proběhne měsíc testování jednoho séra. Následně měsíc, kdy bude používat pouze sérum maximálně 2x týdně, a po něm otestujeme druhé sérum. Ihned následující měsíc k němu přidáme sérum číslo jedna, budeme je aplikova obě současně. POZOR! U této varianty se jedná o naše nijak vědecky podložené rozhodnutí krátkodobého užití obou sér k demonstraci jejich účinku. U současného použití sér, bohužel, není nijak vědecky prokázáno, zda je zcela zdravotně nezávadné a nemůže mít nějaké zdravotní vedlejší účinky. Ani u jednoho přípravku neexistují studie, které by zkoumaly možné vedlejší účinky u dlouhodobého užívání séra.
Zdravotní zodpovědnost za užívání sér na řasy zvláště při dlouhodobém užití nebo nejrůznějších kombinacích nese každá uživatelka sama.
I testovaná osoba nám sdělila, že séra po nárůstu řas nepoužívá pravidelně, ale pouze jedno z nich cca 2x týdně, což jí k udržení délky a hustoty řas bohatě stačí.
Výsledky testování sér na řasy
Fotografie nám potvrdily to, co jsme sledovali již při testování. Sérum Medik8 řasy více během měsíce zahustilo, sérum Hair plus zase více prodloužilo. Nejlépe pak vypadaly řasy při použití obou sér. Na fotkách po testování Medik8 vidíme delší řasy než v období před, a to všechny přibližně stejné délky. U Hair Plus z řady řas vystupují extrémně dlouhé řasy, celkově jsou nepravidelné délky.
![]() |
![]() |
![]() |
![]() |
Foto 1-4: Řasy před, po Medik8 Full Lash & Brow Duo, po Hair plus, po užití obou přípravků
![]() |
![]() |
![]() |
![]() |
Foto 5-8: Řasy před, po Medik8 Full Lash & Brow Duo, po Hair plus, po užití obou přípravků
![]() |
![]() |
![]() |
![]() |
Foto 9-12: Řasy před, po Medik8 Full Lash & Brow Duo, po Hair plus, po užití obou přípravků
![]() |
![]() |
![]() |
![]() |
Foto 13-16: Řasy před, po Medik8 Full Lash & Brow Duo, po Hair plus, po užití obou přípravků
Co jsme ještě při testování sér na řasy objevili?
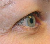
![]() |
![]() |
Foto 17-18: Růst tmavých chloupků kolem oka při používání séra Hair plus.
Již po 4 týdnech aplikace séra na řasy Hair plus jsme pozorovali výskyt tmavých chloupků v okolí oka, které tam před testováním, ani po 4 týdenním užití séra na řasy Medik8 Full Lash & Brow Duo nebyly.
Růst řas byl poprvé zaznamenán jako přídatný vedlejší účinek používání léku na glaukom-zelený zákal. Oční lékařky, paní primářky, MUDr. Zdeňky Wandrolové jsme k sérům na řasy položili pár otázek:
U jakého přípravku – konkrétní léčebné látky v očním lékařství je pozorován jako vedlejší efekt růst řas?
Zvýšený růst řas je pozorován při dlouhodobém používání léků pro léčbu zeleného zákalu a to ze skupiny prostamidů a analogů prostaglandinů (konkrétní látky jsou např. bimatoprost, latanoprost, travoprost, tafluprost). Tento růst je sledován jen u určité skupiny pacientů, bývá různě výrazný. Řasy bývají delší, tmavší, mohou růst i nepravidelně, mohou se otáčet i oproti oční kouli a oko pak dráždit, někdy se objevují i výraznější tmavší chloupky na víčkách.
Je zdravé tuto léčebnou látku používat pouze k dosažení estetického efektu delších řas, aniž bych trpěla daným onemocněním? Resp. co by tato látka mohla způsobit u zdravého člověka?
Prostaglanginy i analogy prostamidů patří mezi lokálně podávané látky, které jsou relativně bezpečné, přesto ale mohou mít řadu nežádoucích projevů. Nejčastěji jde o zvýšené překrvení spojivek a víček, může dojít ke zvýšení pigmentace okrajů víček, ke změně zabarvení duhovky. Někdy způsobují zvýšenou suchost oka a s tím spojený pocit cizího tělíska. Jejich vítaným vedlejším účinkem je právě podpora růstu a pigmentace řas. Závažnějšími, ale méně častými nežádoucími účinky může být i zánět duhovky, otok centra sítnice. U pacientů s astmatem může dojít ke zhoršení potíží, někdy mají pacienti bolest hlavy, kapky mohou zvýšit i krevní tlak.
Myslím si, že tyto léky (kapky) jsou určeny jen pro léčbu glaukomu, jejich kosmetické využití bych velmi zvažovala.
Jak se jako lékařka díváte na séra s růstovými faktory, které jsme testovali a která dle složení tuto látku neobsahují? Jsou dle vás neškodná? Je bezpečné je používat celoživotně? Nebo v jaké frekvenci?
V uvedených testovacích sérech výše uvedené látky nejsou obsaženy, obsahují rostlinné výtažky (např. ze ženšenu, heřmánku apod.) s dalšími chemickými látkami, které mohou podporovat (a pravděpodobně podporují) růst řas. Pokud zájemkyně o tyto preparáty není alergická na žádnou ze složek séra, může je samozřejmě vyzkoušet. Ve frekvenci podávání a době používání bych se držela doporučení výrobce. Sama nemám osobní zkušenosti s použitím těchto sér.
Inspirovali jsme vás?
Používáte-li řasová séra, vložte i vy v diskuzi fotografie před a po.
Oba produkty zařazeny v e-shopu ZdravéOmlazení.cz
Sérum na řasy Hairplus si můžete zakoupit v e-shopu ZdravéOmlazení.cz, kde svým uživatelkám nabízíme pouze TOP prověřenou kosmetiku. Sérum Medik8 Full Lash & Brow Duo se již nevyrábí, na e-shopu bylo nahrazeno sérem Pelo Baum Lash Lash, které pomáhá prodloužit a zahustit řasy, a sérem Pelo Baum Brow Brow pro zahuštění obočí.
![]() |
![]() |
Autor: MUDr. Jana Martincová

.jpg)
.jpg)
.jpg)


















