Každá cesta by měla mít svůj cíl. Proto, než začneme s pacientem/klientem pracovat, měli bychom vědět, co budeme vlastně dělat a kam naší prací směřujeme. Vstupní vyšetření tedy provádíme k získání dostatečného množství informací potřebných k dosažení uspokojivého výsledku pro všechny zúčastněné.

Dle mého názoru nejdůležitější je osobní kontakt k vytvoření vztahu lékaře s pacientem. Mnohdy jsou rekonstrukce chrupu rozsáhlé, tudíž časově i finančně náročné. K dosažení uspokojivého výsledku je prvně třeba důvěra, a to jak pacienta k lékaři, že svoji práci vykoná, jak nejlépe může, tak i lékaře k pacientovi, že bude dodržovat jeho doporučení. Bez vzájemné důvěry dlouhodobá spolupráce nefunguje. Z toho důvodu mezi prvními informacemi zjišťujeme, jaká má pacient přání, představy a očekávání. Následně zhodnotíme, jestli je v našich možnostech tato očekávání vůbec naplnit. Pak teprve následuje vlastní vyšetření. Podle získaných informací navrhujeme terapeutický plán a finanční rozvahu.
Pokud zavítáte do zubní ordinace jako nový pacient, nejdříve by mělo proběhnout vstupní vyšetření. Z něj pak lékař doporučí vhodný postup k sanaci (opravě) nebo rekonstrukci vašeho chrupu.

Mnohem častější jsou však případy, kdy pacient/klient navštíví zubní ordinaci s akutním stavem v ústech. Jeho řešení má samozřejmě přednost, ale mnohdy právě tento problém souvisí s celkovou situací v ústech. Vzniklá bolest nebo diskomfort v podobě vypadené výplně, nesedící korunkové náhrady či můstku nebo zánětu tkání v okolí zubu jsou jen projevem nedostatečného zubního ošetření. V těchto případech je vhodné klienta na tuto skutečnost alespoň upozornit.
Když to shrneme, během vstupního vyšetření by mělo dojít k osobnímu kontaktu mezi lékařem a pacientem, ke zjištění přání a očekávání pacienta a ke zhodnocení možností, jestli je v silách lékaře a dle odborných poznatků a technického vybavení jeho praxe pacientovi vyhovět. Následuje vlastní vyšetření jako takové.
Co vstupní vyšetření u stomatologa zahrnuje?
V rámci vstupní konzultace může pacient očekávat:
1) rentgenologické vyšetření
Standartně bývají zhotovovány tyto snímky:
a) panoramatický přehledný snímek chrupu (OPG ortopantomogram neboli panoramatický snímek zubů) - u nových pacientů bývá zhotovován téměř paušálně. Slouží ke zjištění stavu kosti v okolí zdravých a endodonticky léčených zubů (devitálních - mrtvých zubů, jejichž kořeny jsou ošetřeny kořenovou výplní), vidíme její úroveň (kam až kost okolo zubu sahá) při diagnostice možné parodontózy, přítomnost a uložení zubů moudrosti, jiné patologie – nemoci zubů … Jak už název napovídá, pomůže nám udělat si přehled o stavu zubů a kosti v dutině ústní.
![]() |
![]() |
Foto 1-2: Pořízení panoramatického snímku chrupu u pacientky.
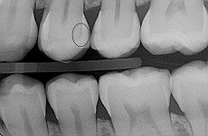
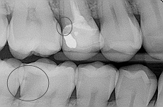
b) snímek k detekci – zjištění mezizubních kazů (anglicky: bite wing) - zobrazuje nově vzniklé kazy v mezizubním prostoru, kvalitu již zhotovených výplní, druhotné kazy vznikající v okolí výplní. Provádějí se od trojek dozadu (čili 4-8 na každé straně v horní i v dolní čelisti), kde je v sousedství zubů široký sklovinný val, přes který mnohdy kaz není v počátečních stádiích vidět nebo je lehce přehlédnutelný.
![]() |
![]() |
![]() |

Foto 3-5: Pořízení snímků ke zjištění mezizubních kazů, které jsou označeny kroužkem.
c) rentgenologický status (stav) chrupu - několik malých snímků zhotovených na 2-3 sousední zuby, kterými lze zobrazit celý zubní oblouk (bývá nahrazován již zmíněným panoramatickým snímkem), jednotlivé snímky ještě zhotovujeme v případě potřeby na konkrétní zuby.
Jako doplňkové vyšetření kosti v okolí zubu může být indikováno CBCT (cone been computed tomography) před chirurgickými výkony, při složité anatomii kořenového systému zubů, obtížně čitelné nálezy na 2D RTG snímcích atd.
Foto 6-7: Zhotovení CBCT v rentgenové místnosti. Výsledný snímek u jiného pacienta.
2) klinické vyšetření
a) extraorální (zevně úst) - zahrnuje vyšetření asymetrií obličeje (možné otoky, vyklenutí např. uzlin, poruchy hybnosti nebo vnímání částí obličeje), zarudnutí, poškození kůže v okolí úst atd…
b) intraorální (uvnitř úst) - prohlídka zubů pomocí zvětšovacího zrcátka, kontrola sliznic a vývodů slinných žláz v dutině ústní

Foto 8: Prohlídka úst stomatologickým zrcátkem.
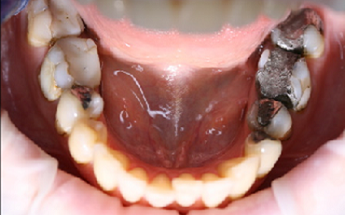
3) fotodokumentace - fotografie stavu chrupu a otisky na studijní modely
Fotodokumentace a model se provádí u pacientů s potřebou kompletní rekonstrukce chrupu.

Foto 9-13: Fotodokumentace situace v ústech - vlevo, vpravo, uprostřed, v horní a dolní čelisti.
![]() |
![]() |
Foto 14, 15: Vlevo zuby v úsměvu před ošetřením chrupu. Vpravo fotografie skusu zubů.
Fota 16-20: Fotografie modelu vytvořeného na základě otisků.
Během vlastního vyšetření lékař zjistí osobní a farmakologickou anamnézu (onemocnění, alergie, užívané léky…). Tato část bývá většinou řešena při registraci klienta anamnestickým dotazníkem.
Po takto podrobném vyšetření má lékař dostatek potřebných informací k plánování postupu ošetření.
Co následuje po vlastním vyšetření?
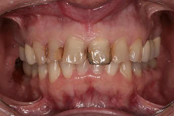
Lékař zhodnotí získané informace z rozhovoru s pacientem a z vlastního vyšetření, stanoví terapeutický a s ním i finanční plán, nakonec předběžně rozvrhne návštěvy k samotným výkonům. Tato fáze je pro každého klienta velmi individuální, záleží na tom, jakou péči potřebuje. Běžně docházejí klienti s tzv. "kosmetickými" problémy a klienti, kteří potřebují kompletní rekonstrukci.
1. Klient s kosmetickými problémy
Jedná se většinou o mladého pacienta bez výrazných problémů, defektů a rozsáhlých zubních náhrad. Lze tedy ihned po prohlídce vytvořit jednoduchý plán, který se týká úpravy hygieny, sanace (opravy) kazů; v případě zájmu následuje návrh dalšího estetického ošetření jako je bělení, výměna starých amalgámových výplní za bílé, malé korekce tvaru zubů pomocí bílých výplní, nasazení rovnátek atd.
![]() |
![]() |
Foto 21, 22: Ukázka odstranění kosmetického defektu, a to nevzhledné výplně, která byla stomatoložkou vyměněna za estetickou, bílou.
![]() |
![]() |
Foto 23, 24: Ukázka estetické opravy – sanace chrupu.
![]() |
![]() |
Foto 25, 26: Hotové fasety na všech čtyřech řezácích. Vpravo kontrola po měsíci ve funkci.
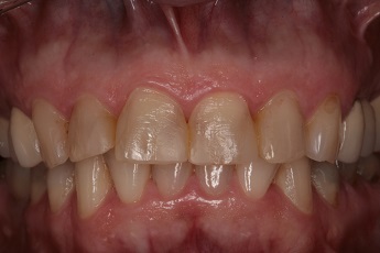
2. Klient s potřebou kompletní rekonstrukce chrupu
V tomto případě je pro lékaře obzvláště důležité provést podrobné vstupní vyšetření včetně fotodokumentace, protože tvorba terapeutického plánu probíhá za nepřítomnosti pacienta. Na základě rozboru fotografií, skusových poměrů na studijních modelech a srovnání poznatků z rentgenologického vyšetření s vlastní prohlídkou dutiny ústní jsou navrženy možné postupy ošetření s cenovým návrhem. Vše se odesílá pacientovi emailem k odsouhlasení, případně je pozván ještě na jednu konzultaci, kde se mu možné postupy vysvětlí a dohodne se, jaké řešení je ochoten akceptovat. Akceptací je myšleno např. rozhodnutí se mezi fixním a snímatelným řešením (např. implantáty versus protéza), někteří klienti nechtějí podstoupit časově náročnou léčbu zubu, u kterého nelze stanovit dobu přežití na 10 let a více, tak se i přes možnost jeho záchrany rozhodnou pro pohodlnější řešení a to zub vytrhnout a nahradit ho dentálním implantátem (jednodušší řešení se stejnou životností).
![]() |
![]() |
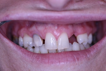
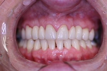
Foto 27, 28: Stav před a po kompletním ošetření rekonstrukci ortodontické vady fixním můstkem.
![]() |
![]() |
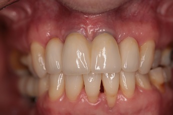
Foto 29, 30: Stav před ošetřením a po vytvoření a umístění definitivního můstku na implantátech v chrupu.
Jak se stanovuje plán stomatologického řešení?
Na základě zjištěné situace se stanoví plán postupného ošetření zubů včetně finanční náročnosti, tedy ceny jednotlivých výkonů. Ne vždycky existuje pouze jedna možnost řešení, zejména u případů, kde je potřeba protetických náhrad. Existuje varianta snímatelná a fixní, které se od sebe liší nejen ukotvením v ústech, ale i komfortem pro pacienta, estetikou. Finance jdou taktéž ruku v ruce s těmito výhodami.
V první řadě se řeší akutní problémy v ústech, které by mohly časem narůst do mnohem větších a finančně náročnějších rozměrů. Kromě bolesti i finance jsou pro poměrnou část pacientů určitým strašákem, tyto obavy je brzdí, aby navštívili ordinaci. Proto na naší klinice lékař nejdříve s pacientem probere to, co by se mělo řešit ihned - úprava hygieny, vytažení nevyužitelných zubů - vytvoření tzv. čistého terénu, následuje odstranění příčin další bolesti - oprava kazů, léčba měkkých a tvrdých tkání přilehlých k zubům a na závěr přes možné provizorní řešení se dopracováváme ke kýženému estetickému a funkčnímu výsledku.

Foto 31: Lékař s pacientem konzultující plán stomatologického ošetření.
Je skutečně lepší si vybrat, byť takto jednorázově dražší ošetření u kvalitního stomatologa, které je možné finančně rozložit do několika fází, než si nechávat týž zub opravovat pořád dokola u běžného stomatologa. Toto ošetření navíc stojí v konečném důsledku více prostředků i zdraví - nezachráněných zubů, než se konečně jednou pro vždy rozhodnout pro kvalitní práci.
Proč tomu tak je? Proč u kvalitního estetického stomatologa po ošetření nepotřebujete další roky při správné péči na daný zub ani sáhnout a u běžného chodíte stále dokola?
Základní problém, který se v odborných kruzích řeší stále dokola, je ten, že běžný stomatolog pracující na pojišťovnu je časově omezený platbou pojišťovny a za daný čas nemůže zub opravit pořádně. Vyhoví tak přání pacienta mít estetickou výplň, ale nemá prostor dodržet všechny náležitosti, které ke zhotovení estetický materiál potřebuje. Čili pacienta to stejně peníze stojí – za lepší materiál, který však nemá v ústech zpracován dle pravidel. Dle rozsahu je ke správnému zpracování výplně třeba 45-60 minut. Běžný stomatolog na tento postup mnohdy nemá čas, jak už bylo řečeno, ze strany pojišťovny musí výplň zhotovit cca za 20 minut, aby byly pokryty veškeré náklady se zhotovením výplně spojené.
![]() |
![]() |
![]() |
Foto 32-34: Ukázka výplně a jejího provedení estetickou stomatoložkou, vlevo stav před (podkažená výplň kvůli nedodržení vhodného postupu pro práci s kompozitním materiálem) uprostřed v průběhu ošetření a vpravo stav po ošetření).
Kolik stojí vstupní vyšetření u stomatologa?
V běžných ordinacích je vstupní prohlídka hrazená ze zdravotního pojištění. Ovšem tady opět narážíme na problém potřebný čas vs. úhrada z pojišťovny. Na naší klinice stojí vstupní vyšetření 1000 - 2000 Kč (dle potřeby pomocných rentgenologických vyšetření) včetně výše popsaných náležitostí, jako je RTG, fotodokumentace, studijní modely, návrh komplexního řešení atd.
Autor: MDDr. Monika Kaňovská







.jpg)













